Começou a notar o aparecimento de algumas bolhas na pele, dor e sensação de queimação em regiões específicas do corpo? É bom ficar em alerta, pois pode ser “cobreiro”. Esse é o nome como a herpes-zóster, doença viral de pele que atinge pessoas que nunca tiveram catapora ou não foram imunizadas contra ela, é popularmente conhecida.
📲 Confira o canal do Portal Amazônia no WhatsApp
Na oitava reportagem da série Nomes populares de doenças que ocorrem na Amazônia, a equipe do Portal Amazônia segue com a ajuda da médica generalista Júlia Edwirges para aprender mais sobre o “cobreiro”, doença comum no Brasil e que cerca de 94% dos adultos lidam com ela por toda a vida.
O que é o cobreiro?
Conhecida como cobreiro, a Herpes-zóster é uma doença contagiosa provocada pelo vírus Varicela-Zóster (VVZ ou Herpesvírus humano tipo 3), o mesmo responsável pela varicela, popularmente chamada de catapora.

O vírus causador de cobreiro permanece latente por toda a vida e costuma ser reativado em pacientes com mais de 50 anos, idosos e pessoas com quadro de baixa imunidade devido à quimioterapia e radioterapia.
Jovens com níveis altos de estresse também podem desenvolver a doença. Por outro lado, crianças e bebês raramente manifestam cobreiro, embora seja possível ocorrer a infecção.
Transmissão
Não é possível “pegar” o cobreiro, e sim contrair o vírus Varicela-Zóster. Seu contágio se dá através do contato direto de uma pessoa para outra infectada pelo VVZ, através do líquido que sai das pequenas bolhas (vesículas). Em casos raros, o vírus também pode ser transmitido por meio de secreções respiratórias.
A partir daí, para quem nunca teve catapora, o vírus desenvolverá primeiro a doença, que geralmente ocorre na infância e depois fica inativa, já que não é possível ter catapora duas vezes. Porém, se a pessoa infectada já teve catapora, mas não se vacinou, o herpes-zóster é reativado e o indivíduo para a apresentar a doença.
Sintomas
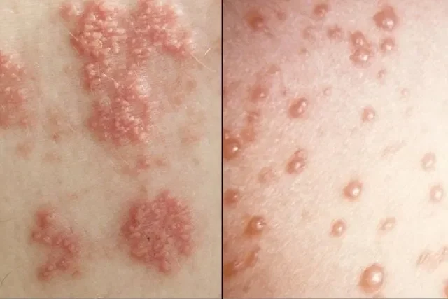
O principal e mais conhecido sintoma do cobreiro as pequenas bolhas preenchidas de líquido que se formam numa determinada região do corpo. Elas se restringem a um lado do corpo e surgem frequentemente na cintura, peito, abdômen e costas. Isso acontece porque o vírus do cobreiro afeta sempre um nervo próximo da medula espinhal.

No entanto, antes do aparecimento das bolhas, o indivíduo pode sentir coceira, dor intensa nos nervos e formigamento no local onde se desenvolve o cobreiro. Febre, mal-estar e dor de cabeça também são outros sintomas comuns do cobreiro que podem surgir antes das lesões na pele.
Diagnóstico e tratamento
O diagnóstico do cobreiro é clínico, onde o/a dermatologista ou clínico geral avalia os sintomas, verifica o histórico de saúde do paciente (se já teve catapora ou se já se vacinou) e observa as características das lesões.
Confirmado o cobreiro, o médico especialista indica o uso de medicamentos antivirais, que podem acelerar a recuperação e prevenir complicações.
Além disso, remédios analgésicos também podem ser prescritos pelo médicos para reduzir o desconforto provocado pelas dores provenientes da doença.
Lavar as bolhas com água e sabão neutro, usar roupas confortáveis para preservar a região lesionada e colocar um pano úmido e gelado também são alguns dos cuidados recomendados para ajudar no alívio da dor e irritação da pele.
Leia também: Quebranto, peito aberto e mau-olhado: conheça 6 doenças tratadas pelas benzedeiras da Amazônia
Prevenção
A forma de prevenir a Herpes-Zóster é por meio da aplicação de vacinas como a Tetravalente viral (que protege contra o sarampo, caxumba, rubéola e varicela) e a vacina Varicela, que são indicadas no calendário de vacinação infantil.
Existe também dois tipos de vacina contra a doença: a Shingrix, indicada para quem tem mais de 50 anos ou pessoas com mais de 18 anos com risco aumentado para herpes zoster; e a Zostavax, para quem tem mais de 50 anos e como rotina para pessoas acima de 60 anos.
A equipe do Portal Amazônia reitera que qualquer suspeita relacionada à doenças em geral deve ser tratada somente sob a supervisão de um médico devidamente certificado.
Leia mais da série:










